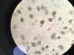
Jakarta - Jika dilihat sekilas, kristal ini tampak cantik -- tapi berbahaya. Ini dapat terbentuk apabila kadar purin yang tinggi dalam tubuh mengalami pengkristalan.
FotoINET
Cantik Tapi Mengerikan, Kristal Asam Urat di Bawah Lensa Mikroskop
Senin, 11 Des 2023 05:45 WIB
(/)











































