Cantik Tapi Mengerikan, Kristal Asam Urat di Bawah Lensa Mikroskop

Akumulasi purin dalam kadar yang tinggi dalam tubuh bisa mengarah pada pengkristalan. Kristal cantik berbahaya itu dapat dilihat dari bawah lensa mikroskop.

Jenis dan jumlah makanan yang dikonsumsi, kecepatan metabolisme, serta kepekatan urine menjadi penentu ada tidaknya kristal dalam urine seseorang. Foto: Instagram/atefoe

Akumulasi purin dalam kadar yang tinggi dalam tubuh bisa mengarah pada pengkristalan. Kristal cantik berbahaya itu dapat dilihat dari bawah lensa mikroskop.

Berat badan berlebih juga bisa menjadi faktor yang meningkatkan risiko asam uratFoto: Instagram/kaksbb

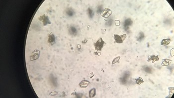
Akumulasi purin dalam kadar yang tinggi dalam tubuh bisa mengarah pada pengkristalan. Kristal cantik berbahaya itu dapat dilihat dari bawah lensa mikroskop.

Jumlah kristal asam urat bisa meningkat apabila ada infeksi, radang atau batu kencing. Foto: Instagram/josepoloni

Akumulasi purin dalam kadar yang tinggi dalam tubuh bisa mengarah pada pengkristalan. Kristal cantik berbahaya itu dapat dilihat dari bawah lensa mikroskop.

Kristal dapat terbentuk dari endapan purin yang terlalu lama. Foto: Instagram/josepoloni

Akumulasi purin dalam kadar yang tinggi dalam tubuh bisa mengarah pada pengkristalan. Kristal cantik berbahaya itu dapat dilihat dari bawah lensa mikroskop.

Untuk mendeteksi kristal asam urat bisa dilakukan dengan cara ultrasound (USG), cek darah, atau umumnya lewat pengambilan sampel urine. Foto: Instagram/prncsspsnts

Akumulasi purin dalam kadar yang tinggi dalam tubuh bisa mengarah pada pengkristalan. Kristal cantik berbahaya itu dapat dilihat dari bawah lensa mikroskop.

Urine itu akan dicek di bawah lensa mikroskop untuk melihat apakah ada kristal yang terbentuk di persendian. Foto: Instagram/gralabiol

kristal asam urat

Kristal asam urat dapat dicegah dengan mengonsumsi air putih yang cukup setiap harinya. Foto: Instagram

kristal asam urat

Hasil fotonya cantik, tapi diam-diam berbahaya. Foto: Instagram

kristal asam urat

Ayo jaga kesehatan mulai dari sekarang. Foto: Instagram

Akumulasi purin dalam kadar yang tinggi dalam tubuh bisa mengarah pada pengkristalan. Kristal cantik berbahaya itu dapat dilihat dari bawah lensa mikroskop.

Mulai terapkan gaya hidup sehat agar terhindar dari pembentukan kristal asam urat. Foto: Instagram/lightcycler

Akumulasi purin dalam kadar yang tinggi dalam tubuh bisa mengarah pada pengkristalan. Kristal cantik berbahaya itu dapat dilihat dari bawah lensa mikroskop.
Akumulasi purin dalam kadar yang tinggi dalam tubuh bisa mengarah pada pengkristalan. Kristal cantik berbahaya itu dapat dilihat dari bawah lensa mikroskop.
Akumulasi purin dalam kadar yang tinggi dalam tubuh bisa mengarah pada pengkristalan. Kristal cantik berbahaya itu dapat dilihat dari bawah lensa mikroskop.
Akumulasi purin dalam kadar yang tinggi dalam tubuh bisa mengarah pada pengkristalan. Kristal cantik berbahaya itu dapat dilihat dari bawah lensa mikroskop.
Akumulasi purin dalam kadar yang tinggi dalam tubuh bisa mengarah pada pengkristalan. Kristal cantik berbahaya itu dapat dilihat dari bawah lensa mikroskop.
Akumulasi purin dalam kadar yang tinggi dalam tubuh bisa mengarah pada pengkristalan. Kristal cantik berbahaya itu dapat dilihat dari bawah lensa mikroskop.
kristal asam urat
kristal asam urat
kristal asam urat
Akumulasi purin dalam kadar yang tinggi dalam tubuh bisa mengarah pada pengkristalan. Kristal cantik berbahaya itu dapat dilihat dari bawah lensa mikroskop.