Kategori Berita
Daerah
Layanan
Detik Network
detikInet
FotoINET
10 Foto Virus Jahat yang Dipotret Mikroskop, Bikin Terperangah
FotoINET

10 Foto Virus Jahat yang Dipotret Mikroskop, Bikin Terperangah


Getty Images - detikInet

Jakarta - Virus mikroskopis tidak bisa dilihat dengan mata telanjang dan diperlukan alat khusus seperti mikroskop. Seperti apa sih hasil jepretannya?

Pertama, ada gambar mikroskopis dari partikel virus cacar monyet.

Lanjut, ada partikel Virus Corona dari hasil sampel pasien yang terinfeksi di Wuhan.

Masih dengan virus Corona, kali ini berbentuk bola berwarna biru.

Tiga varian Virus Corona tertangkap lensa mikroskopis dengan latar berwarna biru.

Gambar ini menunjukkan bentuk sempurna dari Virus Corona yang umum kita lihat.

Selanjutnya, masih dengan Virus Corona. Kali ini didominasi partikel bulat kecil berwarna kuning di permukaan sel Vero yang ditandai dengan warna biru.

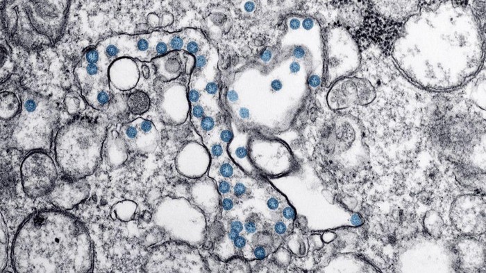
Ini merupakan gambar mikroskopis elektron transmisi dari isolat kasus COVID-19 pertama di AS.

Selain itu, ada pula gambar dari virus AIDS yang sampelnya diambil dari Uganda.

Lanjut, ada virus Ebola yang gambarnya dihasilkan dari pemindaian mikrograf elektron.

Terakhir, ada Flu Spanyol atau Virus H1N1 yang merebak pada 1918. Pada 2005 lalu imluwan berhasil membangun kembali virus ini dari Avian Influenza dengan tujuan memahami penularan dari Virus H5N1.

10 Foto Virus Jahat yang Dipotret Mikroskop, Bikin Terperangah
10 Foto Virus Jahat yang Dipotret Mikroskop, Bikin Terperangah
10 Foto Virus Jahat yang Dipotret Mikroskop, Bikin Terperangah
10 Foto Virus Jahat yang Dipotret Mikroskop, Bikin Terperangah
10 Foto Virus Jahat yang Dipotret Mikroskop, Bikin Terperangah
10 Foto Virus Jahat yang Dipotret Mikroskop, Bikin Terperangah
10 Foto Virus Jahat yang Dipotret Mikroskop, Bikin Terperangah
10 Foto Virus Jahat yang Dipotret Mikroskop, Bikin Terperangah
10 Foto Virus Jahat yang Dipotret Mikroskop, Bikin Terperangah
10 Foto Virus Jahat yang Dipotret Mikroskop, Bikin Terperangah
(/)







Hide Ads
LIVE