Kategori Berita
Daerah
Layanan
Detik Network
detikInet
Begini Performa Prosesor Kirin 980 Bikinan Huawei
FotoINET

Ngilu! Begini Potret Hasil Sinar X Ray di Dalam Tubuh


Pool - detikInet

Jakarta - Pemindai sinar X salah satu alat medis yang memudahkan untuk melihat dalam tubuh. Namun ternyata banyak hasil yang aneh mulai dari jepitan rambut hingga cincin.

Tubuh tikus yang masih utuh di dalam perut ular. (Foto: Brightside)

Beginilah tulang kaki wanita ketika menggunakan sepatu hak tinggi. (Foto: Brightside)

Penasaran bagimana hasil sinar X kaki kuda? begini hasilnya. (Foto: Brightside)

Cincinnya kok malah ditelan ya? (Foto: Brightside)

Menelan kepingan salju. (Foto: Brightside)

Penampakan dalam tubuh penyu saat hamil. (Foto: Brightside)

Seperti ini bayi kembar yang dempet. (Foto: Brightside)

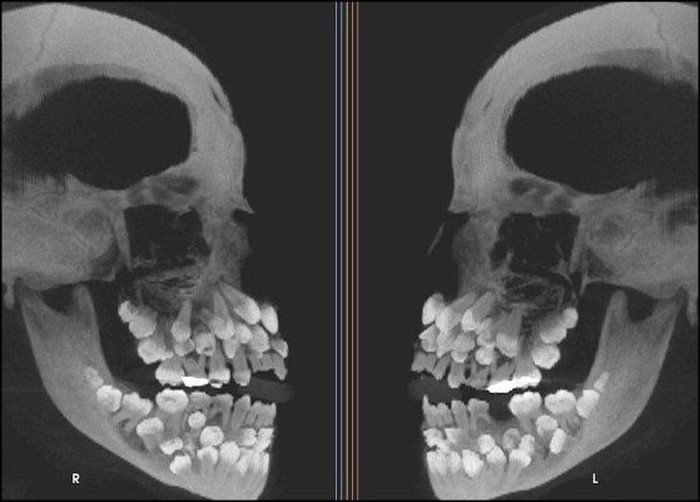
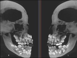
Penampakan seseorang yang mengalami Hyperdontia, merupakan kondisi mulut yang ditandai dengan jumlah gigi yang berlebih, di mana seseorang memiliki lebih dari 20 gigi primer atau lebih dari 32 gigi permanen. (Foto: Brightside)

Ada-ada saja,anak gadis ini menelan jepitan rambut. (Foto: Brightside)

Hiiiii, ini adalah hasil MRI pada wajah. (Foto: Brightside)

Anak-anak kucing yang masih di dalam perut sang induk. (Foto: Brightside)

Ada yang ngintip-ngintip nih. (Foto: Brightside)

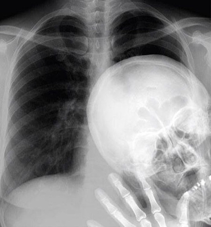
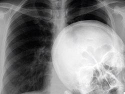
"Putriku menolak untuk melakukan X-ray tanpa Peppa Pig (boneka)," kata ayah gadis yg dipindai ini. Foto: Brightside

Coba perhatikan bagian telunjuk kakinya. (Foto: Brightside)

Ini adalah hasil X-ray pertama di dunia, diambil oleh Wilhelm RΓΆntgen pada 22 Desember 1895. (Foto: Brightside)

Ngilu! Begini Potret Hasil Sinar X Ray di Dalam Tubuh
Ngilu! Begini Potret Hasil Sinar X Ray di Dalam Tubuh
Ngilu! Begini Potret Hasil Sinar X Ray di Dalam Tubuh
Ngilu! Begini Potret Hasil Sinar X Ray di Dalam Tubuh
Ngilu! Begini Potret Hasil Sinar X Ray di Dalam Tubuh
Ngilu! Begini Potret Hasil Sinar X Ray di Dalam Tubuh
Ngilu! Begini Potret Hasil Sinar X Ray di Dalam Tubuh
Ngilu! Begini Potret Hasil Sinar X Ray di Dalam Tubuh
Ngilu! Begini Potret Hasil Sinar X Ray di Dalam Tubuh
Ngilu! Begini Potret Hasil Sinar X Ray di Dalam Tubuh
Ngilu! Begini Potret Hasil Sinar X Ray di Dalam Tubuh
Ngilu! Begini Potret Hasil Sinar X Ray di Dalam Tubuh
Ngilu! Begini Potret Hasil Sinar X Ray di Dalam Tubuh
Ngilu! Begini Potret Hasil Sinar X Ray di Dalam Tubuh
Ngilu! Begini Potret Hasil Sinar X Ray di Dalam Tubuh
(/)







Hide Ads