Kondisi Tubuh Manusia Ini Bikin Takjub dan Merinding

Kondisi Tubuh yang Mengejutkan

Foto scan CT memperlihatkan kondisi rahang yang dimakan tumor. Foto: Boredpanda

Kondisi Tubuh yang Mengejutkan

Kondisi Kulit Yang Disebut Dermatographia, Yang Sebabnya Jika Seseorang Menggaruk Kulit dengan Ringan Akan Muncul Garis Merah Menonjol Di Tempat Yang Digaruk Foto: Boredpanda

Kondisi Tubuh yang Mengejutkan

Kondisi Anonychia adalah hilangnya sebagian atau seluruh kuku pada jari tangan atau kaki. Foto: Boredpanda

Kondisi Tubuh yang Mengejutkan

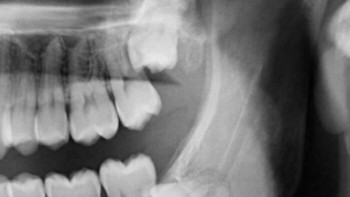
Gegara arah pertumbuhan gigi yang tidak tepat membuat rasa sakit luar biasa. Foto: Boredpanda

Kondisi Tubuh yang Mengejutkan

Tersambar Petir Dapat Meninggalkan Bekas Seperti Tato atau Bekas Luka yang Dikenal Sebagai Figur Lichtenberg Foto: Boredpanda

Kondisi Tubuh yang Mengejutkan

Seseorang yang nyaris tidak memiliki warna mata. Foto: Boredpanda

Kondisi Tubuh yang Mengejutkan

Tangan Pendayung Olimpiade Setelah Mendayung 1000 Km Foto: Boredpanda

Kondisi Tubuh yang Mengejutkan

Ini Batu Ginjal Foto: Boredpanda

Kondisi Tubuh yang Mengejutkan

Tubuh Seorang Pesenam Saat Melakukan Trik Foto: Boredpanda

Kondisi Tubuh yang Mengejutkan

Sindrom Raynaud adalah kondisi medis yang memengaruhi aliran darah ke bagian tubuh tertentu — biasanya jari tangan, jari kaki, telinga, atau hidung — sebagai respons terhadap udara dingin atau stres Foto: Boredpanda

Kondisi Tubuh yang Mengejutkan

Gelembung Gas di Mata Foto: Boredpanda

Kondisi Tubuh yang Mengejutkan

Foto Rontgen Gigi Anak yang Berusia 6 Tahun Foto: Boredpanda

Kondisi Tubuh yang Mengejutkan

Telapak Tangan Tumbuh Rambut Setelah Cangkok Kulit Setelah Beberapa Tahun Foto: Boredpanda

Kondisi Tubuh yang Mengejutkan

Penampakan pembuluh darah. Foto: Boredpanda

Kondisi Tubuh yang Mengejutkan

Rambut Tumbuh Di Mata Foto: Boredpanda

Kondisi Tubuh yang Mengejutkan

Seseorang Mematahkan Jari Manisnya dan Setelah Tidak Membengkokkannya Selama Beberapa Saat, Lipatan Pada Sendi Atas Hilang Foto: Boredpanda

Foto scan CT memperlihatkan kondisi rahang yang dimakan tumor. Foto: Boredpanda
Kondisi Kulit Yang Disebut Dermatographia, Yang Sebabnya Jika Seseorang Menggaruk Kulit dengan Ringan Akan Muncul Garis Merah Menonjol Di Tempat Yang Digaruk Foto: Boredpanda
Kondisi Anonychia adalah hilangnya sebagian atau seluruh kuku pada jari tangan atau kaki. Foto: Boredpanda
Gegara arah pertumbuhan gigi yang tidak tepat membuat rasa sakit luar biasa. Foto: Boredpanda
Tersambar Petir Dapat Meninggalkan Bekas Seperti Tato atau Bekas Luka yang Dikenal Sebagai Figur Lichtenberg Foto: Boredpanda
Seseorang yang nyaris tidak memiliki warna mata. Foto: Boredpanda
Tangan Pendayung Olimpiade Setelah Mendayung 1000 Km Foto: Boredpanda
Ini Batu Ginjal Foto: Boredpanda
Tubuh Seorang Pesenam Saat Melakukan Trik Foto: Boredpanda
Sindrom Raynaud adalah kondisi medis yang memengaruhi aliran darah ke bagian tubuh tertentu — biasanya jari tangan, jari kaki, telinga, atau hidung — sebagai respons terhadap udara dingin atau stres Foto: Boredpanda
Gelembung Gas di Mata Foto: Boredpanda
Foto Rontgen Gigi Anak yang Berusia 6 Tahun Foto: Boredpanda
Telapak Tangan Tumbuh Rambut Setelah Cangkok Kulit Setelah Beberapa Tahun Foto: Boredpanda
Penampakan pembuluh darah. Foto: Boredpanda
Rambut Tumbuh Di Mata Foto: Boredpanda
Seseorang Mematahkan Jari Manisnya dan Setelah Tidak Membengkokkannya Selama Beberapa Saat, Lipatan Pada Sendi Atas Hilang Foto: Boredpanda