Wujud Virus Corona Dilihat dari Dekat, Mengerikan!

foto mikroskopik virus corona

Ukuran virus sangat-sangat kecil. Sebagai gambaran, kalian harus membagi satu milimeter pada penggaris menjadi sejuta bagian untuk mengukurnya. Foto: dari kiri: (1) CDC. (2) University of Hong Kong on Twitter/John Nicholls, Leo Poon dan Malik Peiris. (3) YouTube/Doherty Institute. Montage by ITGD Design Team/Vikas Vashisht.

foto mikroskopik virus corona

Para peneliti di Peter Doherty Institute for Infection and Immunity di Melbourne, Australia mengembangkan virus corona baru dari sampel pasien. Foto: YouTube/Doherty Institute. Montage by ITGD Design Team/Vikas Vashisht.  

foto mikroskopik virus corona

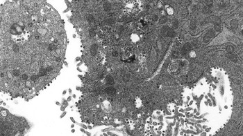
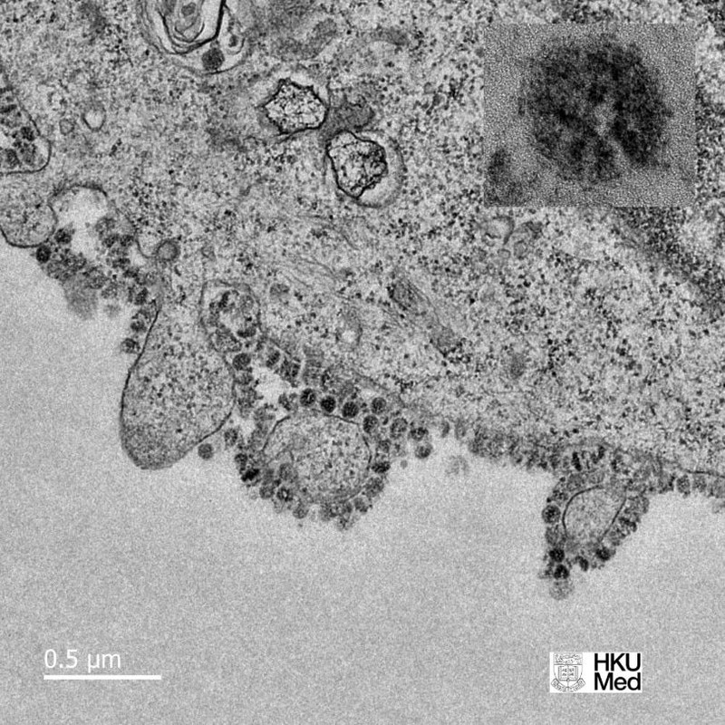
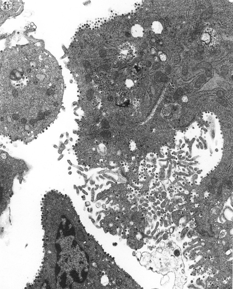
Mikrograf elektron bagian tipis dari virus corona yang tumbuh di dalam sel. Foto: John Nicholls, Leo Poon dan Malik Peiris, University of Hong Kong (Twitter/@hkumed).

foto mikroskopik virus corona

Gambar dari Centers for Disease Control and Prevention (CDC) menunjukkan bagian tipis isolat virus corona kemungkinan penyebab penyakit misterius yang dikenal sebagai sindrom pernafasan akut parah (SARS) 2 April 2003 di Atlanta, Georgia. Menurut CDC, virus yang menyebabkan SARS mungkin merupakan virus yang sebelumnya tidak dikenal dari keluarga Coronavirus. Penyakit ini diyakini berasal dari China dan telah menyebar ke seluruh dunia. Foto: CDC/Getty Images

foto mikroskopik virus corona

Kisaran diameter virus ini antara 20 nanometer--nanometer adalah seperseribu mikrometer--hingga 1 mikrometer. Foto: CDC/Getty Images

foto mikroskopik virus corona

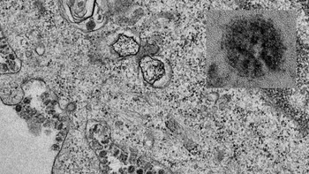
"Setiap sel yang terinfeksi menghasilkan ribuan partikel virus infeksius baru yang dapat terus menginfeksi sel-sel baru," demikian pernyataan University of Hong Kong. Foto: CDC/Getty Images

foto mikroskopik virus corona

Nama virus corona didapat dari protein yang melonjak di permukaannya. Protein ini menciptakan efek yang mirip dengan korona Matahari--bagian dari atmosfer Matahari yang terlihat selama gerhana Matahari total. Corona berarti 'mahkota' dalam bahasa Latin. Foto: (1) CDC. (2) CDC/Fred Murphy; Sylvia Whitfield. (3) NASA/Aubrey Gemignani. Montage by ITGD Design Team/Vikas Vashisht

foto virus corona dilihat dari mikroskop

Gambar-gambar ini dibuat menggunakan pemindaian dan transmisi elektron mikroskop. Foto: National Institute of Allergy and Infectious Diseases. Foto: National Institute of Allergy and Infectious Diseases

foto virus corona dilihat dari mikroskop

NIAID mencatat bahwa gambar tampak agak mirip dengan coronavirus MERS-CoV sebelumnya (coronavirus sindrom pernapasan Timur Tengah, yang muncul pada 2012) dan SARS-CoV asli (coronavirus sindrom pernafasan akut akut, yang muncul pada 2002). Foto: National Institute of Allergy and Infectious Diseases. Foto: National Institute of Allergy and Infectious Diseases

foto virus corona dilihat dari mikroskop

Pada awal 2020, Organisasi Kesehatan Dunia secara resmi menyebutkan penyakit yang disebabkan oleh coronavirus baru: COVID-19. Foto: National Institute of Allergy and Infectious Diseases. Foto: National Institute of Allergy and Infectious Diseases

foto virus corona dilihat dari mikroskop

Sejauh ini ada lebih dari 47.000 kasus yang dikonfirmasi laboratorium dan lebih dari 1.300 kematian. Foto: National Institute of Allergy and Infectious Diseases. Foto: National Institute of Allergy and Infectious Diseases

foto virus corona dilihat dari mikroskop

Wabah virus corona telah didokumentasikan di 25 negara, tetapi sebagian besar di China. Foto: National Institute of Allergy and Infectious Diseases. Foto: National Institute of Allergy and Infectious Diseases

Ukuran virus sangat-sangat kecil. Sebagai gambaran, kalian harus membagi satu milimeter pada penggaris menjadi sejuta bagian untuk mengukurnya. Foto: dari kiri: (1) CDC. (2) University of Hong Kong on Twitter/John Nicholls, Leo Poon dan Malik Peiris. (3) YouTube/Doherty Institute. Montage by ITGD Design Team/Vikas Vashisht.
Para peneliti di Peter Doherty Institute for Infection and Immunity di Melbourne, Australia mengembangkan virus corona baru dari sampel pasien. Foto: YouTube/Doherty Institute. Montage by ITGD Design Team/Vikas Vashisht.  
Mikrograf elektron bagian tipis dari virus corona yang tumbuh di dalam sel. Foto: John Nicholls, Leo Poon dan Malik Peiris, University of Hong Kong (Twitter/@hkumed).
Gambar dari Centers for Disease Control and Prevention (CDC) menunjukkan bagian tipis isolat virus corona kemungkinan penyebab penyakit misterius yang dikenal sebagai sindrom pernafasan akut parah (SARS) 2 April 2003 di Atlanta, Georgia. Menurut CDC, virus yang menyebabkan SARS mungkin merupakan virus yang sebelumnya tidak dikenal dari keluarga Coronavirus. Penyakit ini diyakini berasal dari China dan telah menyebar ke seluruh dunia. Foto: CDC/Getty Images
Kisaran diameter virus ini antara 20 nanometer--nanometer adalah seperseribu mikrometer--hingga 1 mikrometer. Foto: CDC/Getty Images
Setiap sel yang terinfeksi menghasilkan ribuan partikel virus infeksius baru yang dapat terus menginfeksi sel-sel baru, demikian pernyataan University of Hong Kong. Foto: CDC/Getty Images
Nama virus corona didapat dari protein yang melonjak di permukaannya. Protein ini menciptakan efek yang mirip dengan korona Matahari--bagian dari atmosfer Matahari yang terlihat selama gerhana Matahari total. Corona berarti mahkota dalam bahasa Latin. Foto: (1) CDC. (2) CDC/Fred Murphy; Sylvia Whitfield. (3) NASA/Aubrey Gemignani. Montage by ITGD Design Team/Vikas Vashisht
Gambar-gambar ini dibuat menggunakan pemindaian dan transmisi elektron mikroskop. Foto: National Institute of Allergy and Infectious Diseases. Foto: National Institute of Allergy and Infectious Diseases
NIAID mencatat bahwa gambar tampak agak mirip dengan coronavirus MERS-CoV sebelumnya (coronavirus sindrom pernapasan Timur Tengah, yang muncul pada 2012) dan SARS-CoV asli (coronavirus sindrom pernafasan akut akut, yang muncul pada 2002). Foto: National Institute of Allergy and Infectious Diseases. Foto: National Institute of Allergy and Infectious Diseases
Pada awal 2020, Organisasi Kesehatan Dunia secara resmi menyebutkan penyakit yang disebabkan oleh coronavirus baru: COVID-19. Foto: National Institute of Allergy and Infectious Diseases. Foto: National Institute of Allergy and Infectious Diseases
Sejauh ini ada lebih dari 47.000 kasus yang dikonfirmasi laboratorium dan lebih dari 1.300 kematian. Foto: National Institute of Allergy and Infectious Diseases. Foto: National Institute of Allergy and Infectious Diseases
Wabah virus corona telah didokumentasikan di 25 negara, tetapi sebagian besar di China. Foto: National Institute of Allergy and Infectious Diseases. Foto: National Institute of Allergy and Infectious Diseases